
Non todos saben o que é a artrosis, isto fai que a xente confunda nos métodos de tratamento e non entenda os principios da patoloxía de diagnóstico. A artrose é unha lesión distrafica grave que provoca a lesión do tecido cartilaxe na cova intra -articular. A complexidade da terapia está asociada á irreversibilidade dos procesos, a curación completa no contexto da medicina moderna non se pode conseguir, pero a gravidade dos síntomas pódese reducir e a progresión da patoloxía é máis lenta. Co tratamento adecuado, unha persoa continúa o estilo de vida habitual durante moito tempo.
Que é a osteoartrite?
Do mesmo xeito, é máis fácil que a enfermidade sexa unha enfermidade das articulacións que fai que a amplitude do movemento e a dor se restrinxan. Non hai manifestacións na primeira fase do dano, teñen unha lixeira gravidade e son lavadas. A patoloxía avanza gradualmente, isto facilítase os cambios de idade no corpo, o estrés, as lesións, etc., de acordo coas estatísticas, preto do 80% da poboación de máis de 60 anos por artrose.
A osteoartrite da articulación desenvólvese durante moito tempo, inicialmente só afecta o hialink NORP e logo esténdese aos ósos, á cunca sinovial, aos músculos e á cápsula conxunta enteira. Na primeira ou fase inicial da artrose, a lesión maniféstase facilmente: dor pequena despois do traballo duro, inchazo, vermelhidão da pel. Debido á ignoración, as sensacións desagradables están deformadas, inflamadas e traen dor severa, o seu clímax cae pola mañá. A enfermidade caracterízase pola desaparición da dor despois do desenvolvemento da articulación. Se non se trata, unha persoa perde completamente a mobilidade da articulación.

Hai unha forma primaria e secundaria de artrosis. A pseudo-artrose (neoartrosa) tamén diferenciará, e non moita xente sabe o que é porque se forma con menos frecuencia que outras variedades. A neoartrose é unha articulación falsa, polo que o tecido da cartilaxe aumenta nun lugar inusual onde se conservaron danos. É difícil tratar, principalmente cirúrxicos.
Hai unha patoloxía debido a trastornos da función rexenerativa, inmunidade ou danos mecánicos. Debido a varias causas de cartilaxe, faise máis fino. En estado normal, o tecido cartilaxe recibe unha dieta suficiente para a recuperación, pero despois do exceso de esforzo físico ou debido a unha violación dos procesos metabólicos, as substancias non teñen tempo para rexenerarse. A mobilidade común permanece na primeira fase. Despois de que considerase a artrose que é unha definición, paga a pena profundizar no desenvolvemento da patoloxía con máis detalle.
O mecanismo de desenvolvemento da artrose, os seus tipos
Moitos tipos de artrose desenvólvense segundo un esquema similar:
- A lesión primaria afecta á cartilaxe hialina. No caso de trastornos circulatorios, hai un deterioro na forza patolóxica. É o primeiro paso ou a primeira causa de que se poida producir artrose.
- Patoloxías de revestimento de hialina. O adelgazamento da cartilaxe leva á substitución do seu tecido patolóxico - estruturas óseas.
- O crecemento anómico aparece na cartilaxe - osteófitos.
- A violación que se produce da anatomía natural da cartilaxe e os ósos leva á sobrecarga de áreas de cartilaxe saudables. A destrución de tecidos articulares sen tratamento segue liderando e leva a discapacidades.
Se aumenta o grao de enfermidade, os procesos patolóxicos aínda son peores. Ao final, todo o hialink NORP é destruído.
O último grao da enfermidade leva:
- Participación no proceso óseo patolóxico baixo e sobre as superficies cartilaxinosas;
- Reviación dunha cuncha conxunta, mobilidade limitada que leva a unha discapacidade de 2 graos;
- Aumento da densidade capseldica;
- Redución da fenda na fenda da articulación, que se pode sentir na imaxe. A etapa da violación é determinada polo ansiedade diagnóstico. O paciente sente a complexidade ou a incapacidade de endereitar completamente e dobrar a extremidade.
- A deformación conxunta, a cartilaxe recibe unha forma irregular que provoca a curvatura;
- Determinación no estado do paciente con destrución completa da articulación.
Estadios de Artrose
As enfermidades conxuntas teñen 3 niveis de desenvolvemento:

- 1 grao. Os trastornos morfolóxicos xa comezaron, pero aínda non son sorprendentes. A patoloxía inflúe principalmente na condición do fluído sinovial, que ofrece tecido de cartilaxe máis pobre con compoñentes de nutrientes e reduce a forza da cartilaxe. O estrés nas articulacións leva á inflamación e á dor.
- Nivel 2. Debido á falta de pensión, os cartuchos necesarios son destruídos. O crecemento óseo fórmase na superficie da cartilaxe. A dor adquiriu un carácter máis pronunciado, reforzouse despois dun longo descanso e é eliminado por pequenos traballos físicos. A dor vai acompañada de inflamación. Os músculos están estirados, o que leva a deficiencias débiles ou medias das funcións motoras.
- 3 graos. A miúdo hai dor, é difícil mover a extremidade debido aos cambios na articulación. As lesións son extensas e son notables para o aspecto espido. A deformación da posición conxunta prodúcese, a zona afectada incha e queda vermella. O eixe das extremidades está perturbado, o que leva á complexidade do movemento. Os ligamentos producen cambios patolóxicos. Aparecen subluídos e contracturas. Os músculos adxacentes están reducidos ou estirados a partir da cal se debilita a función contráctil.
Causas e factores de risco para o desenvolvemento de artrosis
As causas da artrose das articulacións difiren segundo a forma de patoloxía. Ás veces desenvólvese a deformación da artrose da articulación do cóbado, a articulación do nocello e a artrose do ombreiro sen causas notables. É posible recoñecelo cun médico, un especialista en reumatoloxía. Se o problema precedeu ao problema, a enfermidade descríbese como primaria. A forma secundaria de violación é diagnosticada principalmente e pode provocar estados diferentes.
As principais razóns para o desenvolvemento:
- Danos mecánicos: transferencias, fracturas, estiramento, lesións de menisco;
- unha serie de trastornos endocrinos en relación con mal funcionamento no traballo de inmunidade;
- Patoloxías do metabolismo;
- Displasia (anomalías conxénitas de tecidos articulares);
- sufriu inflamación das articulacións;
- Patoloxías que levan a unha alta mobilidade das articulacións e ao debilitamento dos ligamentos.
Os pacientes con artrosis con máis frecuentemente atopáronse cunha enfermidade debido a factores predispoñentes:
- Cambios relacionados coa idade;
- Peso lixeiro e aumento do IMC. A alta carga na articulación leva a un desgaste rápido da articulación;
- Falta de substancias vantaxosas;
- Estrés excesivo nas articulacións. A razón é o adestramento intensivo, o deporte, o traballo físico duro;
- Condicións de traballo difíciles ou un enfoque incorrecto para o deporte. Se hai unha tendencia xenética cara a danos, lesións nas articulacións ou enfermidades similares, é importante manter un programa de adestramento especial e evitar exercicios traumáticos e difíciles.
- O período de recuperación postoperatoria ou operacións complexas transmitidas en conexión coa excisión dunha gran proporción de substancias afectadas. Tales condicións inflúen negativamente na suavidade e a forza da cartilaxe, a carga debe minimizarse nelas.
- A tendencia xenética, a artrosis é máis frecuentemente diagnosticada en pacientes con parentes coa mesma patoloxía.
- A etapa da posmenopausa, que leva aproximadamente 50 anos ten lugar en mulleres, está asociada a cambios no sistema endocrino.
- O efecto destrutivo das toxinas;
- mala situación ambiental na rexión da residencia;
- O dano frecuente na conexión, ás veces os microrises non aparecen durante moito tempo.
- Liquidación;
- Patoloxía da parte lumbar e do cérvix da columna vertebral.
Osteoartrite primaria

A artrose primaria fórmase de forma independente, é dicir, sen a influencia de causas internas ou externas. A derrota desenvólvese bastante lentamente a través da cartilaxe de Hyalink. Poucas veces se diagnostica, só representa o 3-5% de todos os casos.
Artrose secundaria
A artrose secundaria atópase máis comúnmente nunha orde do 95-96% dos casos. Son provocados por unha das patoloxías anteriores.
Signos e síntomas da artrosis
Dependendo da localización, as manifestacións da enfermidade dificilmente difiren, con máis frecuencia os signos reflectidos no xeonllo, nas xuntas de ombreiro e na cadeira debido a unha carga elevada.
Xorden sobre todo queixas:
- Dor. Teñen unha baixa pesadez na fase inicial, co estado de sensación intensificado. Ao principio, as articulacións ferían só despois de espertar despois de que desaparecera un lixeiro quecemento. Co tempo, a dor aparece pola noite, perturban durante e despois de camiñar durante moito tempo, correndo, etc. Na última etapa, a síndrome da dor segue a unha persoa todo o tempo;
- Amplitude limitada de movementos. A rixidez dos efectos indica cambios anatómicos na estrutura. Primeiro maniféstase pola mañá, entón os movementos diarios son limitados. Para non endurecer a enfermidade, o traballo debe ser diverso e lixeiro, se non, o paciente non pode descifrar e presionar a extremidade co paso do tempo. Co tempo, existe o risco de un contrato do que unha persoa perde a capacidade motora.
- Coroa en movementos: é unha das manifestacións non específicas da artrosis. A enfermidade caracterízase pola aparición de crunch nunha única articulación (con excepción da poliartrosis), acompañada de síntomas, dor e efectos limitados. A natureza da electricidade é ondulada: ao principio maniféstase débil, aumenta gradualmente, pero desaparece en 3 estadios;
- Hinchazón con vermelhidão. Está localizado preto da articulación enferma. Isto indica un proceso inflamatorio e a progresión da enfermidade. O médico entende que a cunca sinovial está afectada e provoca a acumulación de líquido e aumento da dor.
Extremidades limitadas. Se aparece nunha forma descoidada da enfermidade, a destrución completa do tecido cartilaxe e a aparición de osteófitos indican. Neste estado, a presión aumenta nas articulacións na parte superior e inferior, desde a que a curvatura pode afectar a ligazón enteira.
É importante lembrar que a deformación dos ósos na perna adoita confundirse co millo. A primeira vista, o síntoma é mal perigoso, pero leva a graves consecuencias.
Complicacións
En primeiro lugar, úsanse métodos de terapia conservadora para o tratamento. Se vostede é ineficaz ou o paciente ignora as recomendacións do médico, existe o risco de consecuencias.
Posibles complicacións:
- A articulación está completamente destruída;
- A extremidade está inmobilizada, todos os movementos son extremadamente difíciles;
- Vértebras intermedias;
- Discapacidade;
- Forte deformación da articulación ou da extremidade enteira.
Diagnóstico de artrosis
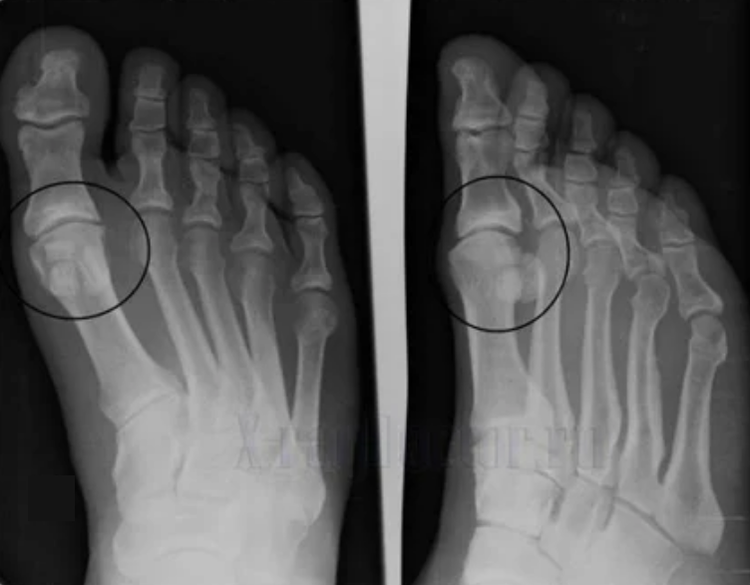
Para facer un diagnóstico, os reumatólogos examinan os síntomas do paciente e prescriben un exame x -ray. A maioría das veces, a radiografía úsase en 2 proxeccións. O Doutor examina a presenza de trastornos distróficos na cartilaxe hialina e nas articulacións óseas. Cando a brecha articular é reducida, os ósos están deformados ou aplanados, hai formacións císticas na superficie da cartilaxe, os osteófitos son signos obvios de artrosis. Durante a inspección, a artrose mostra a inestabilidade da articulación: o eixe das extremidades e a subluxación é perturbado.

Moitas veces unha imaxe x -ray non pode proporcionar información completa sobre o estado da articulación. A tomografía informática prescríbese para un estudo máis exhaustivo e é eficaz examinar os ósos. A resonancia magnética úsase máis a miúdo para examinar o tecido brando.
Durante o diagnóstico, practícase a participación doutros especialistas que axudan a determinar a causa básica da patoloxía. A miúdo usa a consulta dun hematólogo, endocrinólogo, xinecólogos, ortopedia.
Tratamento moderno
Hai centos de terapia con artrose, pero todos se deben a varios métodos:
- Tratamento de drogas. A tarefa principal é combater os síntomas e evitar o desenvolvemento dunha violación. Na maioría dos casos, os analxésicos úsanse para aliviar a dor, medicamentos non atópicos non esteroides para combater a inflamación, medicación hormonal por dor grave e inflamación aguda. Cada curso está baseado en condroprotectores que protexen o tecido da cartilaxe contra a destrución. As substancias naturais úsanse para a súa produción.
- Fisioterapia. Mellora a eficacia das drogas, loita coa inflamación, alivia os síntomas, acelera a rexeneración do tecido. Terapia láser magnética, ultrasóns, eléctrica, eléctrica. Isto tamén inclúe baños de barro, aplicacións con materiais naturais, baños de radón;
- Educación física médica. É útil tanto como prevención como para o alivio da afección. Despois dos exercicios físicos correctos, é posible eliminar completamente a dor. É útil visitar a piscina, tratar con ioga e ir a miúdo.
- A terapia manual, a masaxe axuda co tratamento da enfermidade porque axudan a previr a curvatura das articulacións. Despois de lesións, o terapeuta manual é capaz de suspender a articulación e evitar a súa fixación en posición incorrecta. Despois da masaxe, o ton muscular é mellorado, a circulación sanguínea acelérase.
- Nutrición real. Unha dieta saudable axuda a enriquecer o corpo con nutrientes para a cartilaxe e a reducir o peso corporal. Unha gran masa aumenta o desgaste das articulacións;
- O tratamento do resort de sanatorium reforzará as articulacións. Como parte da curación, ofrécese balneterapia, terapia de formación, métodos de fisioterapia, etc.;
- Terapia non tradicional. Para tratar a artrose, úsanse cabanas, medicamentos naturais, APH e herbas, así como a acupuntura e diversos referendos;
- A intervención cirúrxica é o único xeito de volver á vida habitual na terceira etapa da enfermidade. Co endoprotésico pode substituír a cartilaxe do paciente polo implante. A única desvantaxe da empresa é os elevados custos. Un procedemento é suficiente para 15 a 20 anos.
Medidas preventivas
Para que a artrose da articulación non se moleste na vellez:
- manter un estilo de vida saudable;
- evitar cargas fortes;
- Observa unha dieta;
- Excluír malos hábitos;
- Realizar ximnasia todos os días;
- Siga o peso.
A artrose é unha enfermidade perigosa que é moito máis fácil de evitar que a curación. Coa busca oportuna dun médico e o cumprimento das regras de tratamento, o paciente pode manter un estilo de vida familiar durante moito tempo. A falta de terapia e auto -medicación provoca o rápido deterioro da enfermidade e, finalmente, a discapacidade.
























